By Jeffrey Lineberry DDS
Composite layering with putty stents achieves seamlessly blended restorations
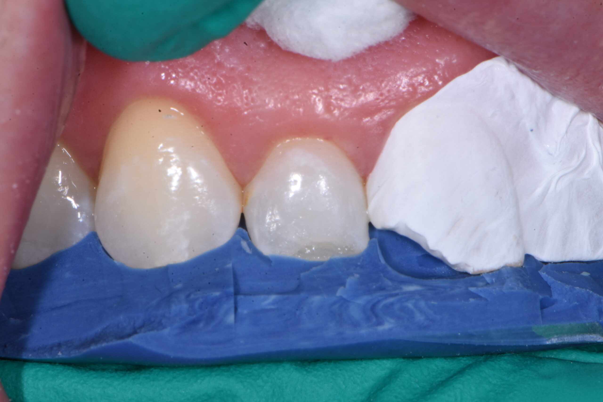
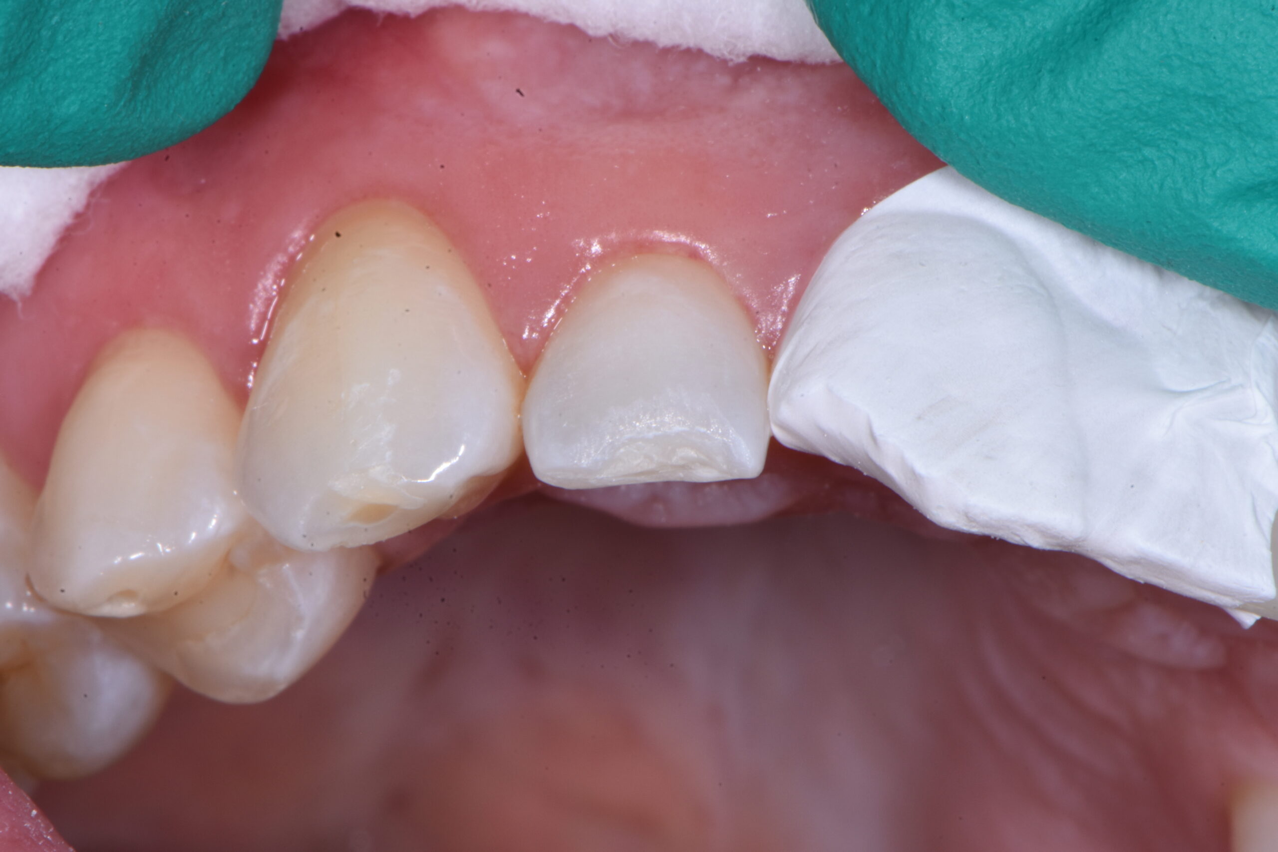
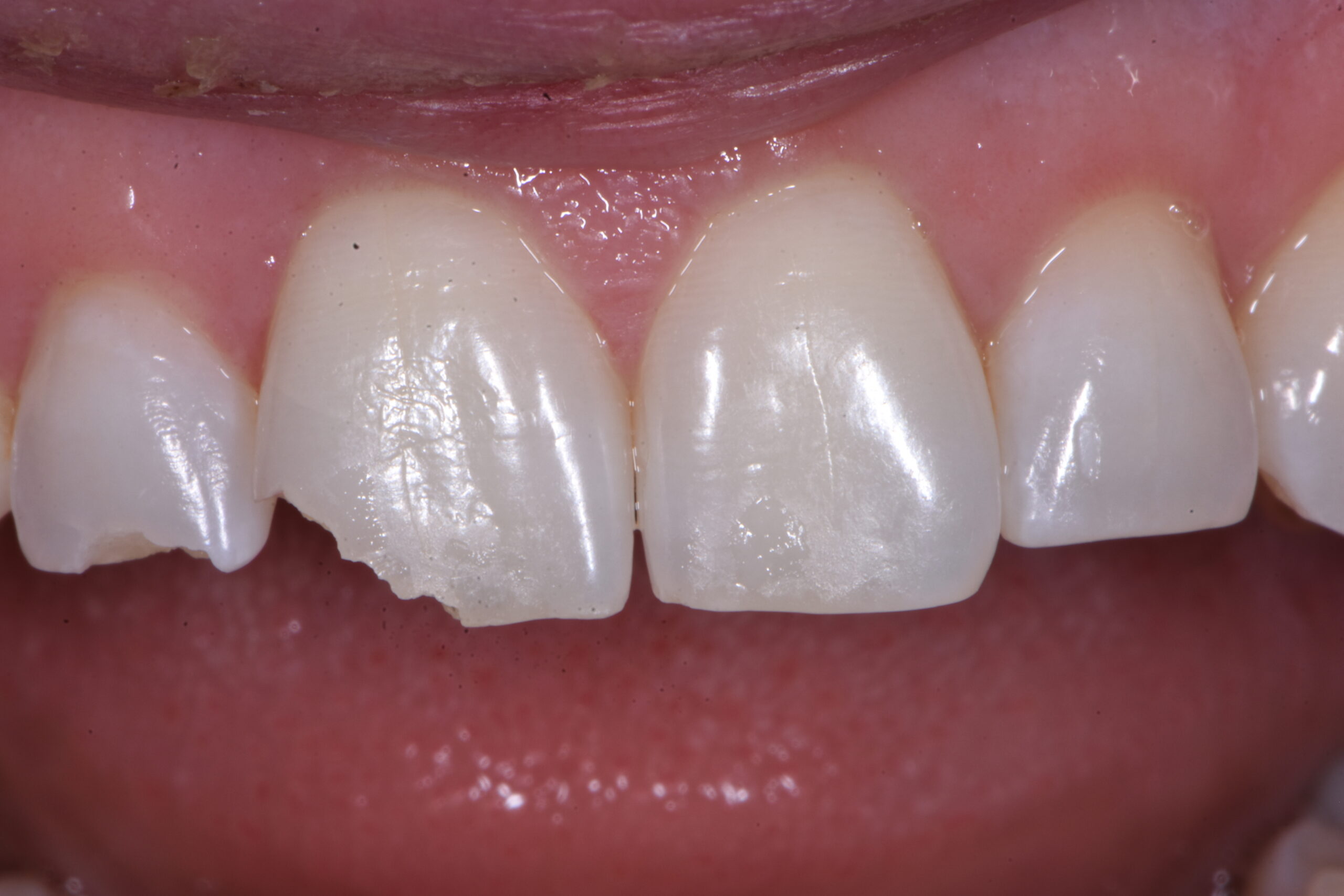
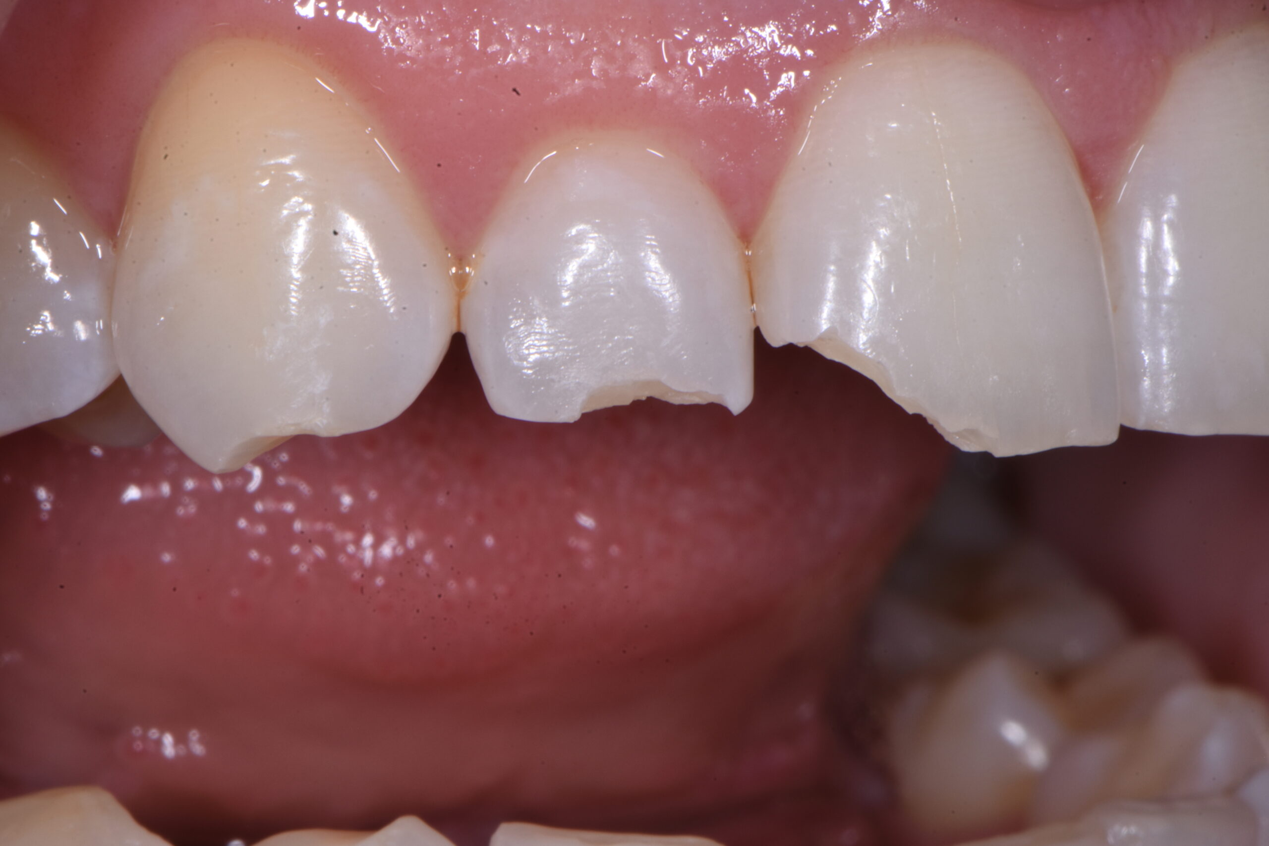
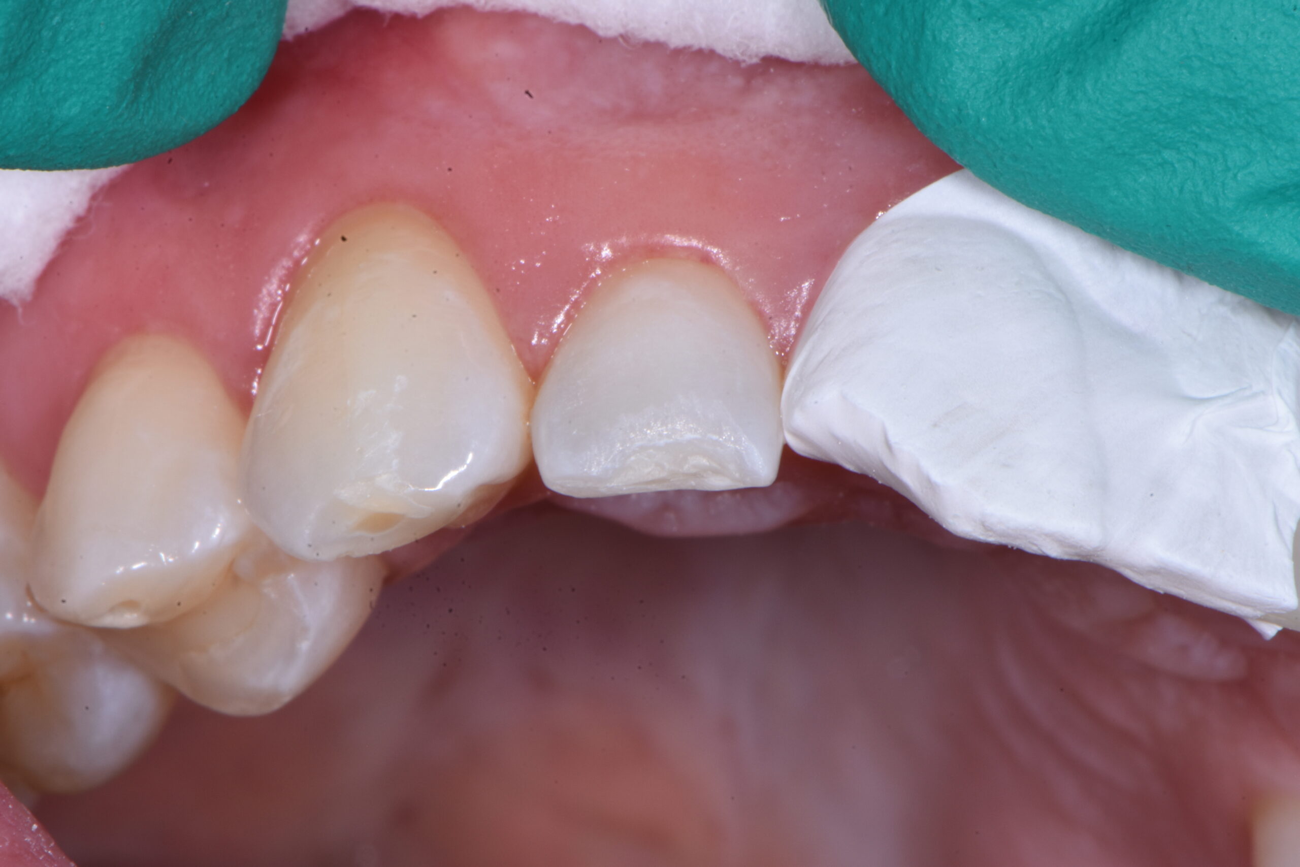
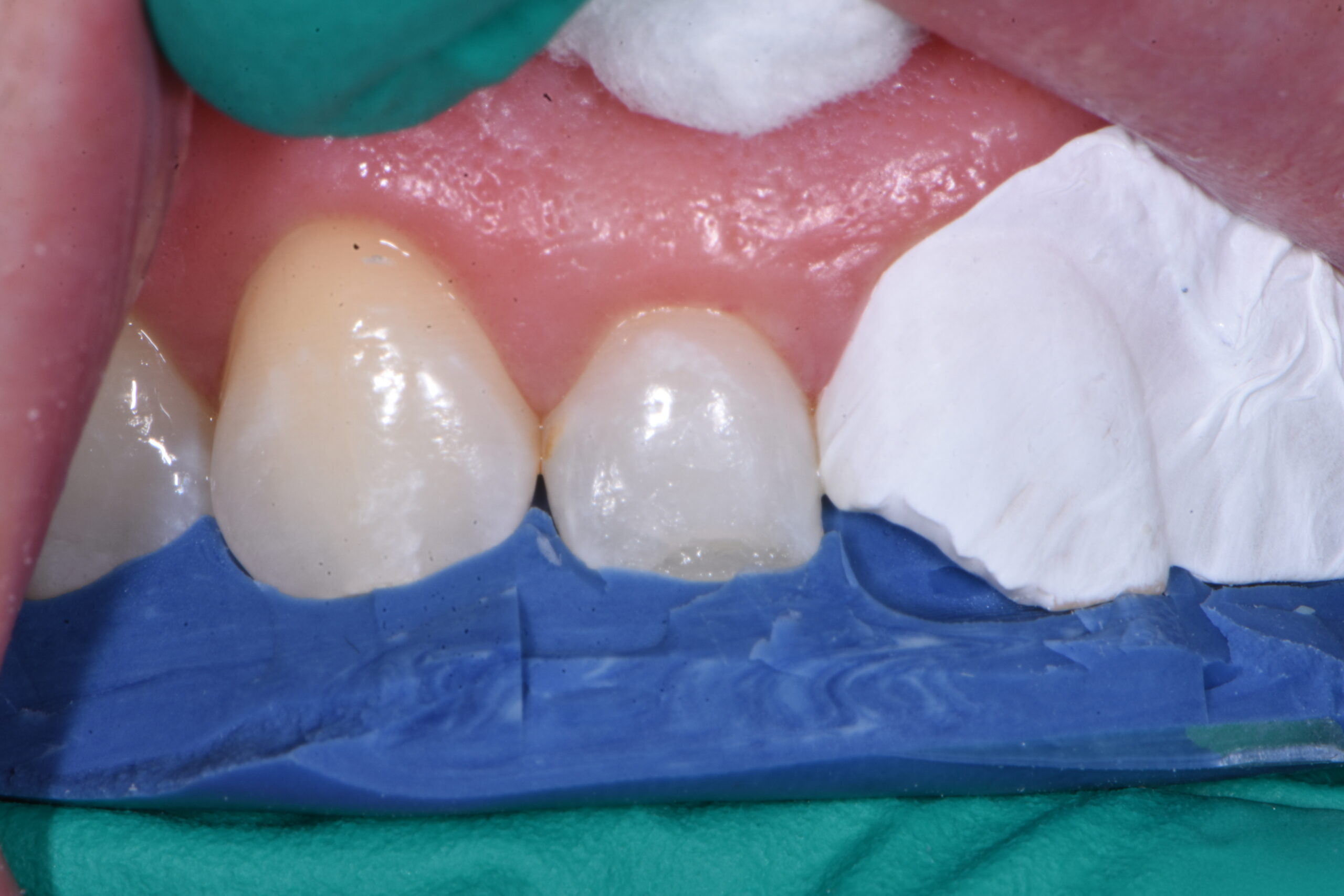
In this well-written restorative case report, featured in Inside Dentistry Magazine, May 2025 Issue, Dr. Jeff Lineberry documents the treatment plan for a 32-year-old male patient that presented to the office with the chief complaint that he had tripped on a curb, fell, and fractured his front teeth.
“When it comes to daily practice, dental professionals are managing patients who present with teeth that are decayed, discolored, worn, chipped, fractured, missing, and more. Oftentimes, the focus is on posterior teeth that are out of the “esthetic zone” and less esthetically demanding. However, patients do present who require restorations that are readily visible. Esthetically demanding cases require clinicians to be able to closely mimic the surrounding natural tooth structure, either with direct resin restorations or with indirect restorations. Before proceeding with either type of restoration, it is important to identify and understand the overall optical properties that the restoration will need in order to achieve the final result. This case report demonstrates how the use of modern composite resins in a layering protocol can enable clinicians to predictably achieve excellent optical properties that mimic the surrounding tooth structure when restoring fractured teeth.”
Click here to read the case report and see the finished restoration!




